
永久歯矯正治療(成人も含む)
CASE1 叢生(ガタガタしている)DAMON SYSTEM使用

CASE2 過蓋咬合(前歯の噛み合わせが深い)
DAMON SYSTEM使用


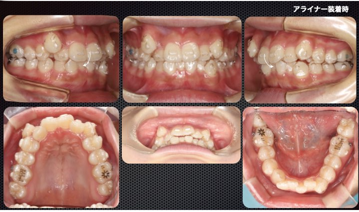
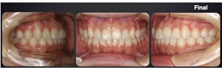
CASE3 叢生(ガタガタしている)・交叉咬合(前歯、奥歯の一部で噛み合わせが逆になっている)
DAMON SYSTEM使用


CASE4 開咬(歯が咬みあっていない) DAMON SYSTEM使用


CASE5 下顎前突(反対咬合)・叢生 DAMON SYSTEM使用


CASE6 上顎前突 ・上の前歯が傾いている・ 左上の一番奥の歯が前の歯に食い込んでいる
DAMON SYSTEM使用


CASE7 上下顎前突(口唇の突出・自然に口唇が閉じられない)・開咬(前歯が噛んでいない)・叢生
MEAW テクニック使用




